Boyun düzleşmesi uzun yıllardır var olan fiziksel bir hastalıktır ama özellikle son yıllarda ismi daha sık duyulmaya başlanmıştır. Günlük hayatın koşuşturmacası, iş yükündeki artış ve insan vücudunun daha çok yıpranması gibi değişen hayat düzeni, hastalığın görülme sıklığını ciddi oranda artırmıştır. Her yıl yüz binlerce kişi boyun düzleşmesi ile karşı karşıya kalmaktadır.
Özellikle de genç nüfusta daha çok görülmektedir. Normal şartla C harfine benzeyen omurga, zaman içinde I harfine benzer hale gelmektedir. İnsan vücudunun duruşunu ciddi şekilde bozan hastalık kişiyi rahatsız eder. Hastalığın teşhisi kısa sürede mümkündür ama tedavi çok önemlidir. Tedavinin aksatılması daha ciddi sorunlarla karşı karşıya bırakılabilir.
[renkbox baslik=”Raşitizm Nedir? Nedenleri, Belirtileri, Korunma Yolları ve Tedavisi
” link=”https://www.real.com.tr/rasitizm-nedir/” resim=”https://www.real.com.tr/wp-content/uploads/2016/03/rasitizm-nedir-nedenleri-belirtileri-korunma-yollari-tedavisi.jpg” renk=”gri” yenisekme=”evet”][/renkbox]
Hastalığı önlemek birkaç küçük adımla gayet kolaydır. Günlük hayatı biraz hareketli hale getirmek bile yeterli olacaktır. Özellikle risk grubunda olan kişilerin boyun düzleşmesinden korunma yolları konusunda daha özenli davranması, kendilerini korumaları gerekmektedir.
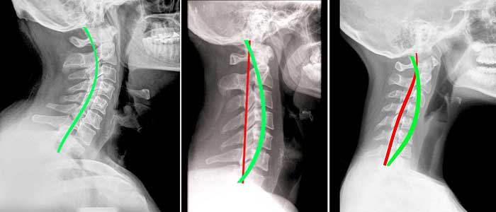
Boyun Düzleşmesi Nedir?
Boyun düzleşmesi sonradan gelişen fiziksel bir hastalıktır. C şeklindeki boyun bölgesi I şeklini aldığında boyun düzleşmesinden söz edilir. İnsanlarda omurganın dizilimi, genişliği, şekli kişiye özeldir. Boyun bölgesindeki C şekli insanlardaki tek ortak noktadır denebilir. Boyun düzleşmesi hastalığının altında yumuşak disklerden oluşan omurganın kayması ve özelliğini kaybetmesi yatmaktadır.
Boyun Düzleşmesinin Nedenleri Nelerdir?
Kişinin çok uzun süre aynı pozisyonda durması ve günlük yaşantının hareketsiz olması hastalığın temel nedenleridir. Vücudun üzerine aşırı yük vermek, bunu sürekli tekrarlamak da boyun düzleşmesine neden olacaktır. Kişinin fiziksel hareketleri yanında bazı alışkanlıkları da boyun düzleşmesine davetiye çıkartabilir. Bu nedenle doğru yatak ve yastık seçimi son derece önemlidir. Yanlış tercihler boyun düzleşmesini de aşarak boyun fıtığına kadar ilerlemeye neden olabilir. Çok çalışmak, aşırı yorgunluk, depresyon, tükenmişlik sendromu gibi birçok neden boyun düzleşmesini tetikleyebilir.
Boyun düzleşmesi genellikle aynı hareketi uzun zaman ve sık sık yapan kişilerde görülmektedir. Yani sadece çalışanlar değil; sürekli oturan, yatan kişilerde de boyun düzleşmesine rastlanabilir. Meslek gruplarından öğretmenler ciddi risk altındadır. Aşırı kitap okuyanlar, bilgisayarda vakit geçirenler, uzun süreli ders çalışanlar, bankacılar, devlet memurları, gün içinde uzun süre bilgisayar kullanmak zorunda olanlar da risk altındadır. Sadece dışarıda çalışanlar değil; evde örgü işiyle uğraşan ev kadınları da boyun düzleşmesi ile karşılaşabilir.
Boyun Düzleşmesinin Belirtileri Nelerdir?
Boyun düzleşmesinde en önemli belirti boyun bölgesindeki ağrılardır. Ağrı hafif olabileceği gibi düzleşmenin alanına ve yoğunluğuna bağlı olarak şiddetli de olabilir. Ağrı dışında boyun düzleşmesini anlayabileceğiniz bir diğer belirti boynun hareketlerinde kısıtlama olmasıdır. Hastalık geliştiğinde kişi boynunu istediği gibi rahat hareket ettirememeye başlar.
Boyun Düzleşmesinden Korunma Yolları Nelerdir?
Boyun düzleşmesinden kendinizi korumak için öncelikle sağlıklı bir günlük rutin oluşturmalısınız. Fiziksel hareketler boyun düzleşmesinin engellenmesinde en önemli adımdır. Günlük aktivite mutlaka artırılmalı, küçük de olsa egzersizler yapılmalı, ek olarak çalışma ortamında bazı küçük detaylar elden geçirilmelidir. Ortopedik ve ergonomik çalışma sandalyeleri, ruh halini pozitif etkileyecek tarzda bir ortam boyun düzleşmesinden korunmada önemlidir. Hayatınızda düzenli egzersize yer vermek sizi sadece boyun düzleşmesinden değil, birçok hastalığa karşı koruyacaktır.
Boyun Düzleşmesi Nasıl Teşhis Edilir?
Şikayetlerinizle birlikte sağlık merkezine başvurduğunuzda uzman fiziksel muayene yapacak ve bazı tetkikler isteyecektir. Fiziki muayene aslında yeterli bilgiyi vermektedir ama kesin tanı için röntgen ya da MR tercih edilmelidir. Röntgen ya da MR ile net bir şekilde teşhis koyulabilir. Fiziki muayenede doktor öncelikle boynun sağa, sola, öne ve arkaya doğru hareketlerine bakmaktadır. Doktor boyna ve çevresine dokunduğunda hastanın verdiği tepkilerle ölçüm yapılabilir. Boyuna bağlı olarak kollarda, ellerde ve ayaklarda oluşabilecek güç kayıplarını anlayabilmek için tepki ölçümü de fiziksel muayenenin bir parçasıdır.
Boyun Düzleşmesinin Tedavisi Nedir?
Boyun düzleşmesinin tedavi edilmesinde öncelikle omurilikte ve burada yer alan sinirlerde baskı olup olmadığı belirlenmelidir. Baskı söz konusuysa tedavi için kas güçlendirici çeşitli egzersizler ve fizik tedavi yapılması uygundur. Boyun düzleşmesi tedavisinde bir diğer yöntem boyunluk kullanmaktır. Tedavide iyileştirici önerilerin dışında hastanın iyileşme sürecini rahat atlatması için ağrı kesiciler de kullanılmaktadır. Boyun düzleşmesi tablosu daha ciddi bir durumdaysa ve disklerde kayma mevcutsa fizik tedavi seansları önerilmektedir.
Tedavi edilmeyen boyun düzleşmesi etki alanını genişleterek nörolojik sorunlara neden olabilir. Hastanın durumuna göre, doktor gerek görürse cerrahi işlem yapılabilir. Baskı söz konusu olan boyun düzleşmesi rahatsızlıklarında kaslarda güç kaybı olacağından büyük olasılıkla cerrahi düşünülmektedir. Ancak ameliyatın yapılacağı bölgede milyonlarca sinirin yer alması ve hayati önem taşıyan bir konum olması nedeniyle cerrahi son derece risklidir.
[renkbox baslik=”Adale Çekilmesi Nedir? Nedenleri, Belirtileri, Korunma Yolları ve Tedavisi
” link=”https://www.real.com.tr/adale-cekilmesi-nedir/” resim=”https://www.real.com.tr/wp-content/uploads/2017/04/adale-cekilmesi-nedir-nedenleri-belirtileri-korunma-yollari-tedavisi.jpg” renk=”mavi” yenisekme=”hayir”][/renkbox]
Bu nedenle cerrahi, uzmanlar tarafından en son başvurulacak yoldur ama hastanın durumunda beklenecek vakit kalmamışsa riskli de olsa hastanın onayı ile cerrahi uygulaması yapılabilecektir. Tedavi sürecinin başarılı olabilmesi ve kısa sürmesi için hastaların günlük yaşantılarına dikkat etmesi gerekir. Tedavi süresince ve sonrasında boyun artık çok zorlanmamalı; korunma yollarında söz edilen hususlara özen gösterilmelidir.
Bilgisayar başında çalışan bir birey olduğum için en az 1 saat en fazla 2 saatte bir mola veriyorum.
Tam doğru anlatmışsınuz, sürekli bilgisayar başındayım,iş haricinde de kitap okuyorum ve boyun düzleşmem var ?
Asya hanım peki çözüm buldunuzmu! Bende bu hastalıkla mücadelede ediyorum
Süper anlatim
Merhabalar, bu güzel yazı için teşekkür ederim. Olması gerektiğinden yalın ve sade olmuş bu tür yazıları internette gördükçe gözlerimiz yorulmadan okuyabiliyoruz.
Çok kötü bir hastalık. Mutlaka buna karşı önlemler almalıyız özellikle bilgisayar kullanırken. Sağlık en önemli şeydir. Sağlık bozukluklarının geri dönüşü olmalıyız. Uzmanların tavsiyelerine mutlaka uymalıyız. Teşekkürler.